牙龈萎缩是怎么回事?如何预防?
牙龈萎缩是怎么回事?如何预防?

图片来源网络
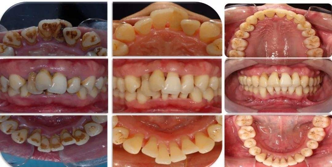
牙龈萎缩,也就是我们常看到的牙肉包不住牙根,在视觉上牙齿变长,影响美观。牙龈萎缩是一种常见的口腔疾病,它的发生和牙周疾病有着密切联系,在牙龈底部附着的牙结石,可以使牙龈萎缩、牙齿松动脱落等。
当然,牙龈萎缩也分为生理性和病理性两种,生理性萎缩指的是随着年龄的增长牙龈或多或少会发生萎缩,使牙根暴露;那么病理性萎缩就是我们本文说的由于牙周因素而导致的萎缩。
牙龈萎缩主要是哪些因素造成的呢?
刷牙方法不对

图片来源网络
长期横向刷牙或刷牙力度过大,会对牙龈产生机械性刺激和压迫,从而导致牙龈和牙槽骨退缩,常见发生与一组牙或个别牙。
年龄

图片来源网络
随着年龄增大,牙龈附着高度比年轻时候要低,很多中老年人的牙周组织因长期受到炎症刺激或机械刺激,时间积累过长就导致了牙龈萎缩。
牙周炎

图片来源网络
牙周炎症导致牙周组织被破坏,牙槽骨吸收后,附着在牙槽骨上的牙龈也随之萎缩,进而出现牙龈萎缩。
牙齿错位

图片来源网络
牙齿错位导致部分牙齿失去了咀嚼能力,长期处于无用状态,时间一长,牙龈就发生了萎缩。
假牙佩戴不当

图片来源网络
假牙不合适或者使用不当都可能造成牙龈萎缩,比如活动假牙的固定装置刺激了牙龈,牙龈会产生炎症,进而造成萎缩等。
如何预防牙龈萎缩?
定期洗牙

图片来源网络
为了防止牙周疾病对牙龈的侵犯,保持卫生的口腔环境尤为重要,而洗牙能够清楚牙齿和牙龈上的结石,能有效的预防和延缓牙龈萎缩。
定期进行口腔检查

图片来源网络
建议定期到专业的口腔医疗机构进行检查,主要检查有无牙周炎、牙结石、口腔溃疡、牙龈肿胀、食物嵌塞等,佩戴活动假牙的也要进行定期复查,因为这些都是导致牙龈萎缩的因素,如果发现牙龈已经萎缩,可以及时就诊并治疗处理。
治疗全身性疾病

图片来源网络
一些全身性疾病也能引起牙龈萎缩,比如内分泌紊乱、贫血、维生素C缺乏、糖尿病等等,都可能会引起牙周组织的变化,进而造成牙龈萎缩,所以要及时进行治疗才能缓解牙龈萎缩。
远离污染

图片来源网络
环境的污染也会对口腔造成严重的影响,比如砷、铅等金属中毒会导致牙周炎、牙龈水肿以及牙龈萎缩,所以应该注意自己的生活环境,避免接触有害物质。
【本文来源子和口腔官方公众号:cdzhkq】
标签:
