肺段支气管解剖
肺段支气管解剖

图1-胸锁关节层面
▲T:气管,E:食管,S1:上叶尖段

图2:主动脉弓层面
▲ARCH :主动脉弓,S2:上叶后段,S1+2:左上叶尖后段

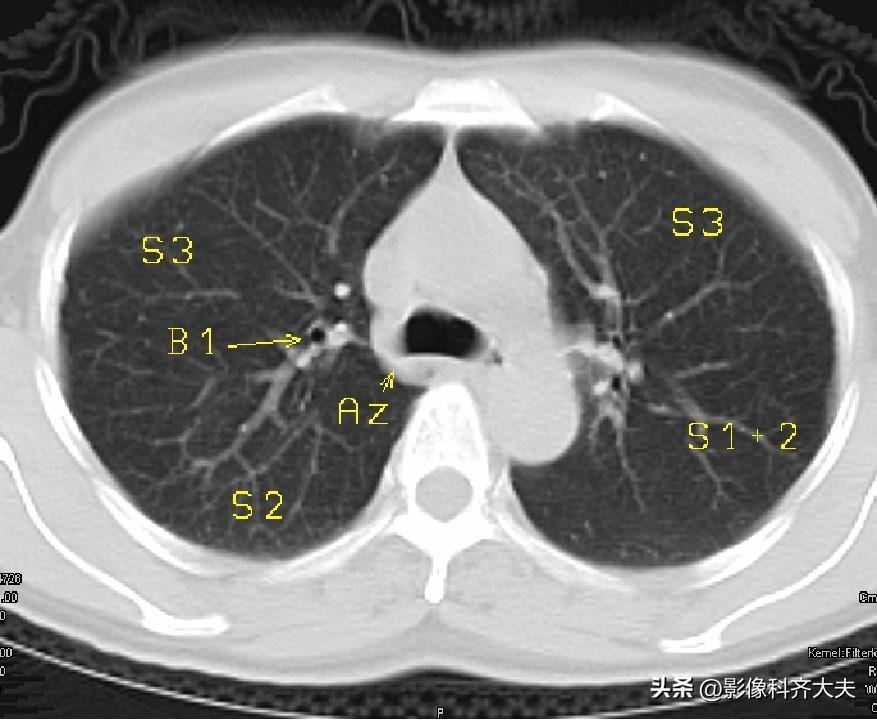
图3-主肺动脉窗层面
▲Az:奇静脉弓,B1:上叶尖段支气管,S3:上叶前段

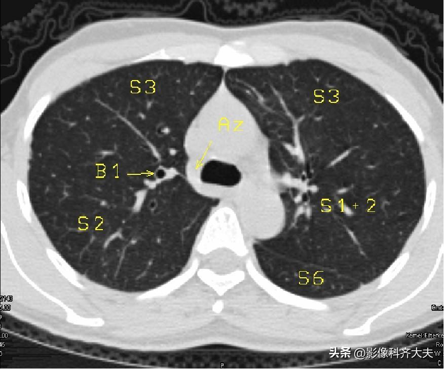
图4-奇静脉弓层面
▲S6:下叶背段

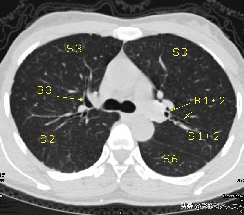
图5-近隆突层面
▲B1+2:左上叶尖后段支气管B3:上叶前段支气管

图6-隆突层面。
▲B2:上叶后段支气管,C:隆突,RMB/LMB:右/左主支气管,RULB:右上叶支气管

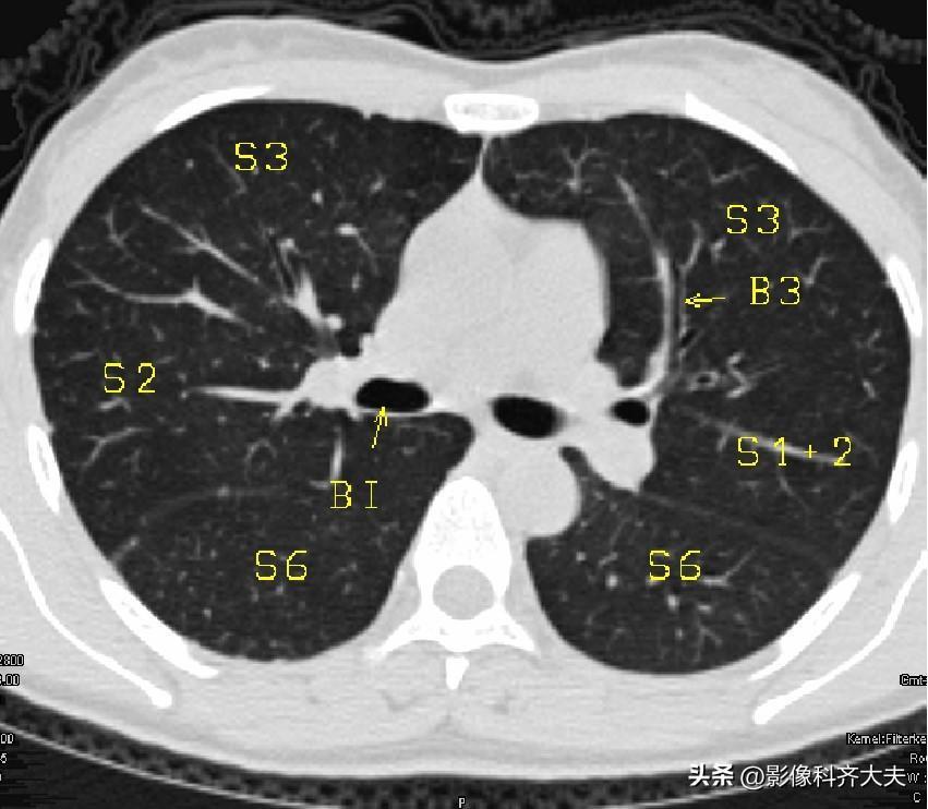
图7-隆突下1cm层面
▲BI:中间支气管

图8-隆突下1cm层面 图8-隆突下1cm层面
▲LUMB:左上叶支气管

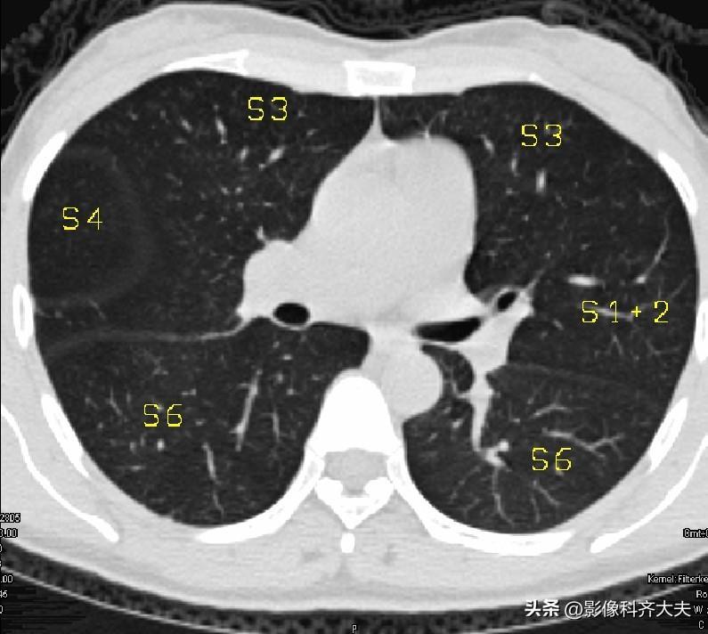
图9-隆突下2cm层面
▲V3:上叶前段静脉的段间支

图10-隆突下2cm层面
▲S4:右中叶外段/左舌上段

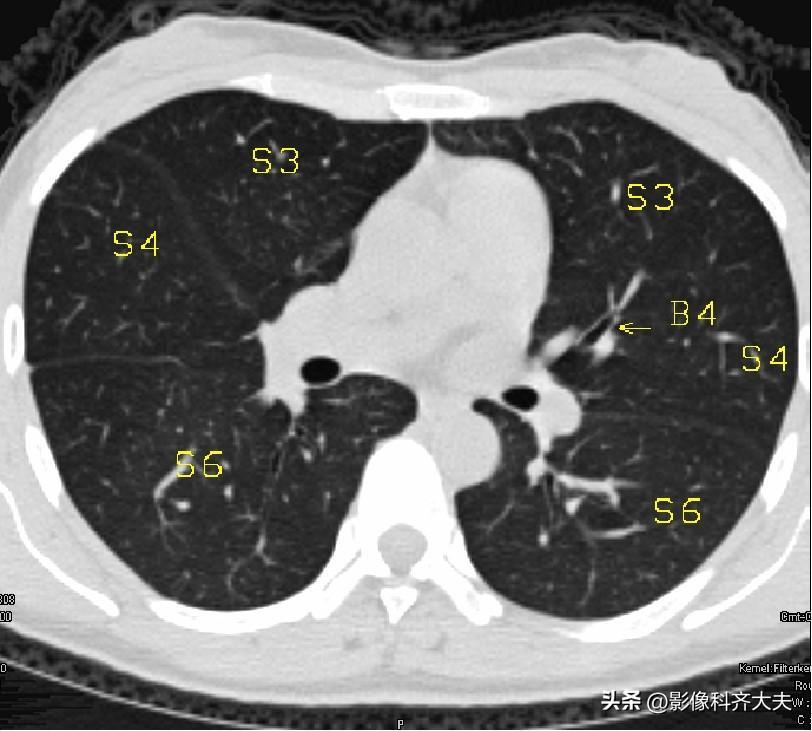
图11-隆突下3cm层面
▲B4:右中叶外侧段/左舌上段支气管

图12
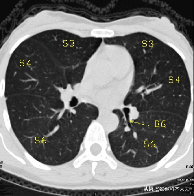
▲B6:下叶背段支气管

图13

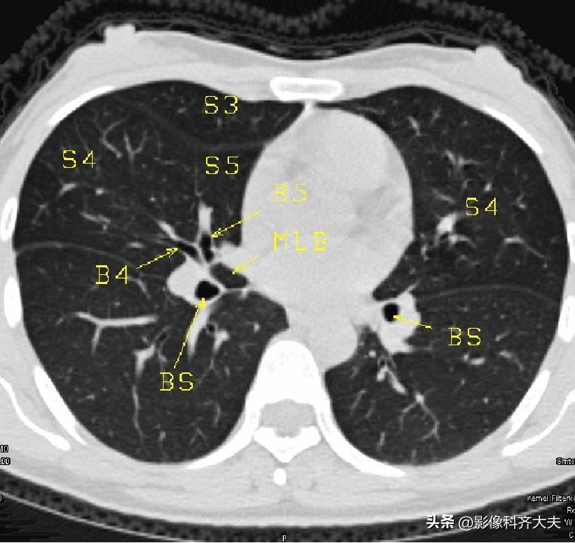
图14
▲B5:右中叶内侧段/左舌下段支气管,BS:基底干支气管,MLB:中叶支气管,S5:右中叶内侧段/左舌下段

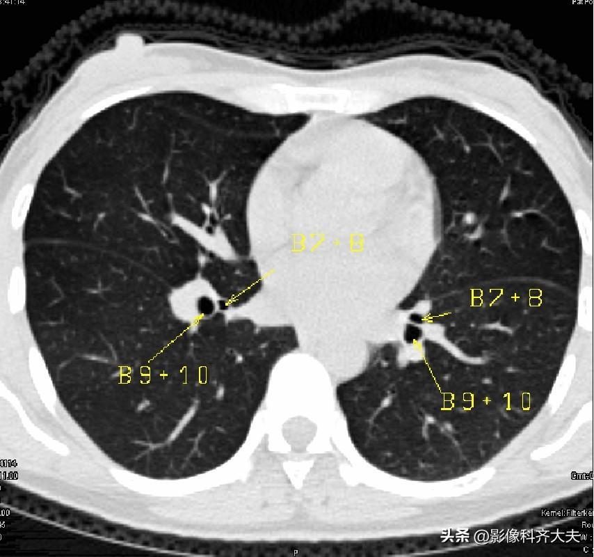
图15-近心底层面
▲B7+8:下叶前内段支气管

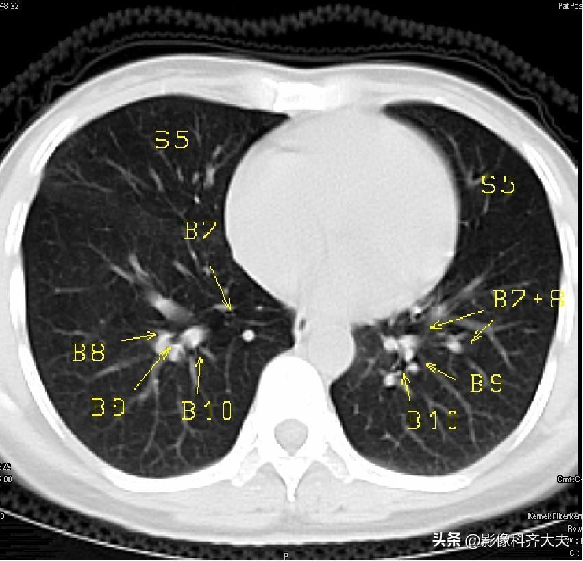
图16-近心底层面
▲B7:下叶内段支气管,B8:下叶前段支气管,B9:下叶外段支气管,B10:下叶后段支气管

肺段支气管分布图
标签:
